Acest site folosește cookies. Continuarea navigării implică acceptarea lor. Mai multe informatii aici
OK

Parodontologie

Sănătate orală perfectă pentru un zâmbet perfect!

Tratamente laser parodontoză

Zâmbetul tău contează!

Cu toții am auzit de parodontoză și o privim, de obicei, ca pe ceva foarte îndepărtat și străin de noi, specific vârstei a treia. Principalul lucru care trebuie reținut este acela că parodontoza nu ține de vârstă, ci de calitatea igienei orale, netratarea problemelor stomatologice sau predispoziția genetică.

 

Studiile clinice efectuate au dezvăluit faptul că 9 din 10 romani suferă de o afecțiune parodontală, într-un anumit grad. Totul începe cu o simplă gingivită, dar daca nu se iau măsuri, afectarea țesuturilor evoluează, ajungând la parodontoză, chiar și la vârste de 30-40 de ani.

 

Bolile parodontale pot fi prevenite sau ușor tratate în stadiu incipient, așadar informarea pacienților rămâne principala armă a medicilor stomatologi specializați în parodontologie.

Ce este parodontologia

Parodontologia este specialitatea stomatologiei care studiază țesuturile dure și moi ce susțin dinții, precum și bolile care îi afectează.

Parodontologia clinică studiază diagnosticul, prognosticul și tratamentul tuturor tipurilor de patologii inflamatorii care afectează parodonțiul, termen care include gingia (gingiile), osul alveolar, cementul radicular și ligamentul parodontal.

Boala parodontală

Bolile parodontale sunt printre cele mai frecvente boli care afectează oamenii. Biofilmul dentar contribuie la etiologia majorității bolilor parodontale. De asemenea, este larg acceptat faptul că răspunsurile imunologice și inflamatorii la componentele biofilmului se manifestă prin simptome ale bolii parodontale.

 

Boala parodontală și cariile dentare sunt legate. Bacteriile din cavitatea orală le provoacă pe amândouă. Aceste bacterii sunt veșnic prezente și ajută de fapt la descompunerea alimentelor pentru digestie. Cu toate acestea, prea multe bacterii pot provoca probleme. Dacă nu menții o igienă orală corespunzătoare,  bacteriile se acumulează în gură, mai ales la nivelul gingiei. Acumularea de bacterii poate forma tartru. Bacteriile pot provoca infecții la nivelul gingiei. Aceste infecții pot provoca probleme grave. Nu poți îndepărta tartrul numai cu periajul și folosirea aței dentare, este necesară intervenția unui medic stomatolog.

 

Înțelegerea consecințelor bolii parodontale înseamnă două lucruri:

  • Trebuie prevenită, căci evoluția ei conduce, în ultim stadiu, la pierderea dinților.
  • Trebuie tratată de la primele simptome, încă din stadiu incipient, pentru că prognosticul este cu atât mai rezervat, cu atât stadiul ei de evoluție este mai avansat. 

Stadiile bolii parodontale

 

Există trei stadii de evoluție a bolii gingivale.

 

  • În primul stadiu, boala apare ca o gingivită și este ușor tratabilă de către un parodontolog. Este posibil să observi în prima etapă că gingiile par roșii și umflate. Ele pot fi, de asemenea, sensibile și pot chiar sângera la periaj sau cu ocazia utilizării aței dentare. Tratarea bolii gingivale în prima etapă este destul de simplă, iar ulterior, tu ca pacient ai un rol important în respectarea indicațiilor medicale.
  • În stadiile doi și trei ale bolii parodontale, există alte semne că aveți o problemă. Tartrul de pe dinți și gingii începe să împingă gingia departe de rădăcina dintelui, creând un spațiu (pungă parodontală), mediu propice pentru stagnarea bacteriilor și implicit, o infecție, deoarece aceste spații între dinți și gingii sunt foarte greu de igienizat. Parodontita (stadiile 2 și 3) este, de asemenea, tratabilă de către un parodontolog pentru a lucra la vindecarea infecției. Cu toate acestea, va necesita multă îngrijire și întreținere, deoarece odată ce boala ajunge la etapa a doua, infecția poate fi tratată, dar nu complet vindecată.

 

Diagnostic

În prezent, bolile parodontale sunt clasificate pe baza trăsăturilor clinice ale bolii, utilizând radiografii și examinări clinice. Progresele în genomică, biologie moleculară și medicină personalizată pot duce la noi orientări pentru definirea și diagnosticarea clară a bolii în viitor.

Parodontoza și legătura cu alte afecțiuni

 

 

Cercetările au dovedit recent ceea ce stomatologii au suspectat de multă vreme: că există o legătură puternică între boala parodontală și alte afecțiuni cronice, cum ar fi diabetul, bolile de inimă și osteoporoza.

 

Boala parodontală se caracterizează prin:

  • inflamația țesutului gingival
  • prezența bacteriilor cauzatoare de boli
  • infecția sub linia gingiei.

 

Infecțiile și bacteriile din gură se pot răspândi în tot corpul și pot duce la o serie de probleme de sănătate.

 

Prin urmare, menținerea unei igiene orale excelente și reducerea progresiei bolii parodontale prin tratament vor avea beneficii dincolo de prevenirea bolii gingivale și a pierderii osoase.

De asemenea, vă poate salva de șansa de a dezvolta o altă afecțiune gravă.

Parodontoza provoacă alte afecțiuni

 

S-au cercetat și descoperit legături clare între parodontoză și afecțiuni generale grave:

  • Diabet
  • Afecțiuni cardiace
  • Osteoporoza
  • Afecțiuni respiratorii
  • Complicații în sarcină

Cum se tratează boala parodontală?

Tratamentul vizează îndepărtarea depozitelor bacteriene de pe dinți și gingii.

 

1. O bună igienă orală

Medicul stomatolog îți va oferi instrucțiuni despre cum să reduci stagnarea bacteriilor în gură, ceea ce implică menținerea igienei cavității bucale. Medicul te va sfătui cu privire la utilizarea corectă a periuței de dinți și a aței dentare și îți poate recomanda alte produse de igienă orală, cum ar fi apa de gură.

 

 

Iată câteva sfaturi pentru menținerea sănătății dinților:

  • Spală-te pe dinți de două ori pe zi, cu o pastă de dinți cu fluor.
  • Ia în considerare utilizarea unei periuțe de dinți electrice, care ar putea fi mai eficientă.
  • Utilizează ața dentară, cel puțin o dată pe zi, pentru a îndepărta placa.
  • Vizitează medicul dentist cel puțin de două ori pe an, pentru o igienizare dentară profesională.

 

2. Igienizarea dentară profesională

În timpul unei curățări profesionale, medicul dentist va îndepărta placa bacteriană și tartrul de pe dinți, iar apoi îi va trata cu fluor. Orice pungi parodontale care s-au format ar putea necesita o curățare profundă pentru a permite vindecarea. O metodă de curățare profundă numită scalare și planare a rădăcinilor va ajuta eliminarea tartrului de pe smalț și subgingival, unde bacteriile tind să se adune.

 

3. Antibiotice

În unele cazuri, medicul dentist vă va prescrie antibiotice pentru a ajuta la eliminarea infecțiilor persistente ale gingiilor care nu au răspuns la igienizări. Antibioticul poate fi sub formă de apă de gură, gel, tabletă orală sau capsulă.

 

4. Monitorizarea evoluției afecțiunii parodontale

Medicul te va consulta din nou după câteva săptămâni și apoi o dată la fiecare trei până la șase luni, după aceea, pentru a vă evalua progresul. Dacă pungile parodontale sunt încă prezente, pot fi recomandate alte opțiuni de tratament, cum ar fi intervenția chirurgicală.

 

5. Intervenția chirurgicală

Dacă inflamația persistă în zone inaccesibile la periaj și folosirea aței dentare, medicul dentist poate recomanda o procedură chirurgicală numită chirurgie cu lambou, pentru a curăța depunerile de sub gingii. Sub anestezie, gingiile sunt îndepărtate de rădăcini, pentru ca rădăcinile dinților să fie curățate. Gingiile tale sunt apoi suturate la loc.

Dacă există o pierdere osoasă, se va realiza și o adiție osoasă, în același timp cu intervenția chirurgicală cu lambou, pentru a regenera osul pierdut.

Tratament parodontoză laser în Galați

 

Tratament parodontoză laser în Galați

 

Implantoart Dental Center îți oferă tratamente parodontale moderne, minim-invazive, rapide și confortabile.

 

Cum diferă tratamentele cu laser de metodele tradiționale?

  • Tratamentele cu laser oferă o opțiune de conservare și regenerare a țesuturilor moi și dure.
  • În procedurile de tratament moderne vom folosi un laser cu diodă, în loc de un bisturiu. Nu numai că laserul taie țesutul care trebuie îndepărtat, dar elimină și bacteriile existente, prin sterilizarea zonei.
  • Energia laserului sigilează țesuturile de suprafața rădăcinii dentare, fapt ce facilitează vindecarea și reduce sângerarea, dar previne și alte infecții.
  • Această abordare modernă permite corpului să-și folosească propriile puteri de vindecare, deoarece laserele stimulează celulele stem generând noi țesuturi conjunctive, os și colagen. Astfel de restabilește integritatea osului, în cel mai non-invaziv, confortabil și rapid mod posibil.

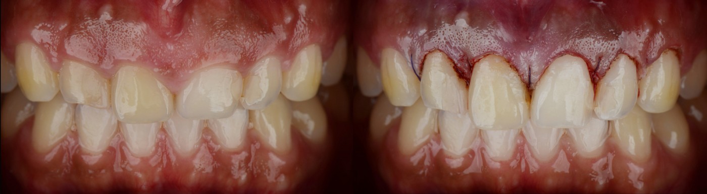
Gingivectomia

Este necesară atunci când gingiile s-au îndepărtat de dinți, creând pungi adânci. Pungile parodontale îngreunează curățarea plăcii bacteriene. Gingivectomia se face, de obicei, înainte ca boala gingiilor să afecteze osul care vă susține dinții.

 

După curățarea temeinică a dinților, prin detartraj, medicul va începe prin a vă amorți gingiile cu un anestezic local.

 

Se va determina milimetric adâncimea pungilor parodontale, folosind o sondă, pentru a oferi indicații precise asupra zonelor unde vor fi necesare incizii.

 

Se va îndepărta numai țesutul gingival necesar pentru a elimina tăierea pungii la un unghi de 45 de grade față de dinte, pentru a ne asigura că îndepărtăm doar țesutul bolnav.

În cadrul clinicii noastre utilizăm tehnologia laserului diodă de la Biolase, pentru a îndepărta țesutul gingival.

 

Succesul pe termen lung al intervenției depinde în mare măsură de menținerea, ulterior, a unei foarte bune igiene dentare. Gingiile tale ar trebui, în acest caz,  să devină din nou roz și sănătoase.

 

Gingivectomia poate împiedica boala gingivală de la a deteriora în continuare țesutul gingival, dinții și oasele, ajutându-te să poți realiza o curățare corespunzătoare a dinților. Dacă țesutul osos se deteriorează, există pericolul mobilității dentare și a pierderii lor, în ultimă instanță.

 

Consulturile stomatologice regulate sunt importante. Dacă boala gingiilor se agravează, este posibil să aveți nevoie de un alt tip de intervenție chirurgicală.

Gingivoplastia

Gingivoplastia este o procedură de remodelare a aspectului gingiilor. Unii medici pot numi această procedură „reconturarea gingiei”.

A avea gingii prea lungi pe dinții din față poate crea un „zâmbet gumos”. Hipertrofia gingivală se manifestă ca o inflamare puternică a gingiilor, ca urmare a gingivitei.

 

Atât gingivectomia, cât și gingivoplastia, implică îndepărtarea țesutului gingival. Principala diferență dintre cele două proceduri constă în faptul că o gingivectomie elimină țesutul gingival bolnav care înconjoară o pungă gingivală, în timp ce gingivoplastia se efectuează pentru a remodela țesutul gingival, de obicei din motive cosmetice.

 

Gingivoplastie Galați

 

O gingivoplastie poate fi utilizată în combinație cu o gingivectomie și există și cazuri în care o gingivectomie poate fi utilizată pentru proceduri cosmetice.

 

În cadrul acestei proceduri de tratament, dinții vor fi curățați temeinic, pentru a îndepărta bine placa și tartrul din zonă, folosind scalarea și planarea radiculară.

Un anestezic local va fi aplicat pentru a amorți zona.

Gingivoplastia va modela gingia, îndepărtând țesutul gingival care contribuie la parodontoză sau creând un aspect estetic mai plăcut al gingiilor. Această intervenție durează doar câteva minute.

Tratament laser parodontoză Galați - Implantoart Dental Center

Chiuretaj gingival

Această procedură îndepărtează țesuturile de granulație din pungile gingivale.

Ulterior detartrajului, se anesteziază zona, pentru confortul pacientului. Chiuretajul mecanic se face cu o chiuretă care se introduce și retrage din șanțul gingival,  cu mișcări verticale, blânde, pentru protejarea țesutului gingival și așa inflamat. Urmează spălături cu soluții de clorhexidină sau ser fiziologic, pentru a îndepărta țesuturile de granulație și pe cele infectate.

 

Chiuretaj gingival se poate realiza și ultrasonic, sau cu ajutorul laserului.

Chiuretajul gingival laser este de obicei nedureros și asigură sterilizarea zonei și o rapidă vindecare.

Fă totul pentru a preveni parodontoza!

Dacă nu este tratată, inflamația inițială poate evolua, determinând deteriorarea gingiilor și a structurii osoase de susținere a dinților.

Acest lucru poate duce la recesiunea gingiilor sau chiar la pierderea dinților. În plus, cercetările au arătat că boala gingiilor poate fi asociată cu alte boli, precum diabetul și bolile de inimă.

 

Din fericire, boala parodontală poate fi prevenită. Adăugarea acestor obiceiuri la rutina zilnică vă poate ajuta:

  • Igiena dentară regulată, corectă.

Periajul după mese ajută la îndepărtarea resturilor alimentare și a bacteriilor acumulate între dinți și gingii. Nu uita să igienizezi și limba, bacteriilor le place să se ascundă acolo. Ața dentară utilizată cel puțin o dată pe zi ajută la îndepărtarea particulelor de hrană și a plăcii dintre dinți și de-a lungul liniei gingivale pe care periuța de dinți nu o poate atinge. În final, utilizarea unei ape de gură poate ajuta la reducerea plăcii și poate elimina particulele de alimente rămase pe care periajul și ața dentară le-au ratat.

  • Cunoaște-ți riscul.

Vârsta, fumatul, dieta și genetica pot crește riscul de boală parodontală. Dacă ai un risc crescut, asigură-te că discuți despre asta cu  medicul dentist.

  • Realizează o evaluare parodontală anuală, la un medic stomatolog.

Aceasta va analiza dinții, nivelul plăcii, gingiile, mușcătura, structura osoasă și alți factori de risc pentru boala parodontală. Identificarea timpurie a simptomelor bolii gingivale este cheia pentru protejarea zâmbetului tău!

Te așteptăm la Implantoart pentru tratarea parodontozei prin metode moderne, cu ajutorul tehnologiei performante, fără durere și în cel mai scurt timp.